
















اهلا-صحتي- صور مرفقة علامات مرض تصلب او انسداد الشرايين التاجية للقلب او ما يعرف بنشاف شرايين القلب:
يمكن القول ان هناك اربعة حالات او لوحات محتملة من الممكن للمرض ان يأخذها وهي متعلقة بنسبة إنسداد الشرايين التاجية وخطورة هذه الإصابات:
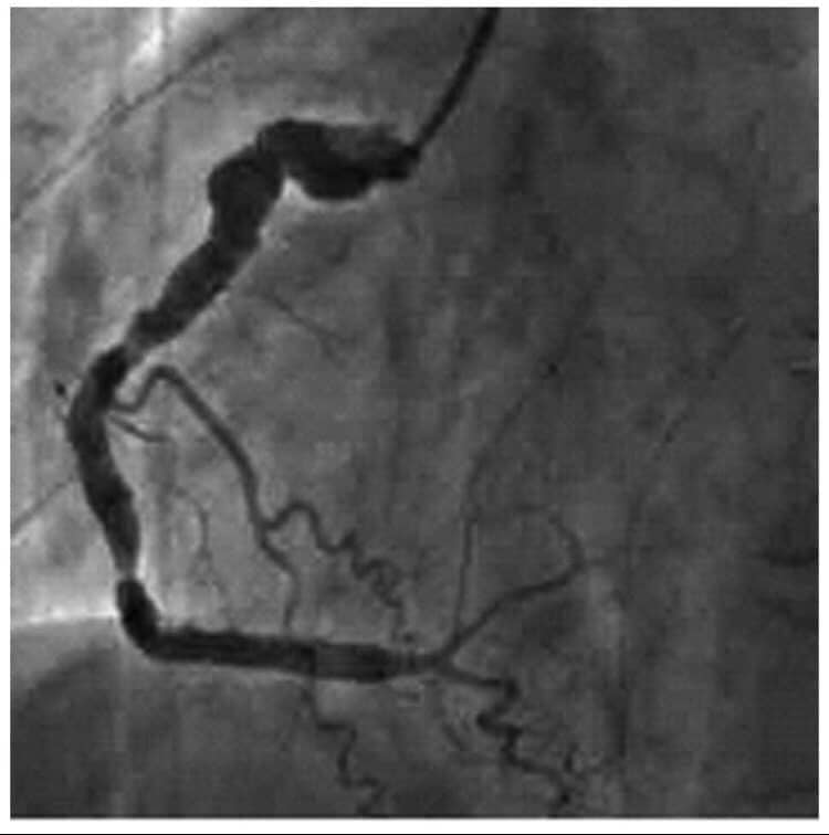
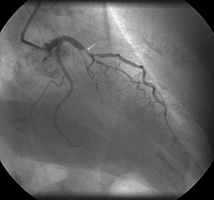
١- الألم الصدري عند الجهد او ما يعرف بالخناق الصدري المستقر على الإجهاد وهو الم يصيب المريض عند القيام بمجهود جسدي معين كمشي حوالي مئتي متر مثلا او صعود ثلاث طوابق او حمل ثقل معين. ويكون هذا الألم بشكل الم في اعلى الصدر والعنق والفك واحيانا في البلعوم والرقبة والكتف الأيسر ويمتد احيانا حتى الذراع الأيسر . وستمر هذا الالم لمدة ٣ او ٤ دقائق على ان يزول نهائيا بعد ذلك . ويحصل كل مرة على ذات مستوى الإجهاد ويتنهي مع توقف الإجهاد ليعود ويظهر مع مع معاودة الجهد ولذات المسافة او الجهد الذي قام به المريض ولذلك نقول عنه انه مستقر لأنه يظهر عند القيام ب ذات الجهد . وهو غالبا ما يكون ناتج عن إنسداد شريان واحد من الشرايين التاجية للقلب ونشخصه بسهولة عبر الوصف والفحص السريري وتخطيط القلب العادي EKG الذي قد يظهر بعض العلامات او عن طريق إجراء فحص الإجهاد: Stress test حيث تظهر ذات علامات الألم مع الركض السريع على سجادة فحص الجهد او على الدراجة الهوائية التي نستعملها من اجل ذلك. وعند إجراء التمييل او القسطرة Coronarograpgy يظهر ان هناك إنسداد واحد او إصابات على شريان واحد من الشرايين التاجية للقلب وعادة ما تكون هذه الإنسدات مهمة وتتراوح بين ٧٠ و ٩٠ او ٩٥ بالمئة ولكنها قطعا لا تكون إنسدادات كاملة اي مئة بالمئة . ومن الممكن في معظم الاحول علاجه بواسطة عملية التوسيع بالبالون والروسور وبعد ذلك تزول كل هذه العلامات او الأعراض ولكن المريض يجب ان يتناول بعدها بعض الادوية التي سنذكرها لاحقا. وطبعا عليه ايضا مراقبة عوامل الخطورة مثل إيقاف التدخين ومراقبة الدهنيات في الدم ومرض السكري وارتفاع الضغط وعلاج كل هذه الامراض بأدويتها المناسبة والقيام بتمارين رياضية شبه يومية او لثلاث مرات في الاسبوع.
نستكمل لاحقا شرح العلامات الأخرى وادامكم الله بألف صحة.
د طلال حمود







